White filling special
Warning: Undefined variable $args in /var/www/hiramdentalsmiles.com/htdocs/wp-content/plugins/oxygen/component-framework/components/classes/code-block.class.php(133) : eval()'d code on line 17
Warning: Undefined variable $args in /var/www/hiramdentalsmiles.com/htdocs/wp-content/plugins/oxygen/component-framework/components/classes/code-block.class.php(133) : eval()'d code on line 20
- New Patients Only
- Non Insured Patients
- Cannot Combine With Other Coupons
What are white filings?
There are many materials that can be used successfully to restore (fill) cavities in teeth. The two major types of fillings that we use are silver filling and white fillings. Silver fillings have been used successfully for decades, and while these types of restorations are safe, sturdy and reliable, white fillings (composite fillings) have multiple advantages over silver fillings, which is why they are our filling material of choice

White Fillings vs. Silver Fillings
Some of the reasons that we prefer white filings for most teeth are:
- Preservation of tooth structure: white fillings require less drilling than silver fillings because white fillings are bonded in to the tooth.
- Esthetics: white filings (composites) have many different color varieties, so we are able to fill a tooth with a color that very closely matches the color of your tooth
- Longevity: white fillings are very strong, and do not put pressure on teeth as some silver fillings can do
Advances in white filling technology
The technology behind composite fillings is always improving. Today’s composites are very polishable and more wear resistant than composites of the past, making your smile look even better. And there are similar materials that release Fluoride, which has applications in patients who need to balance esthetics and a high cavities rate. As every clinical situation is different, ultimately we will decide with you which treatment modality works best given your dental needs.
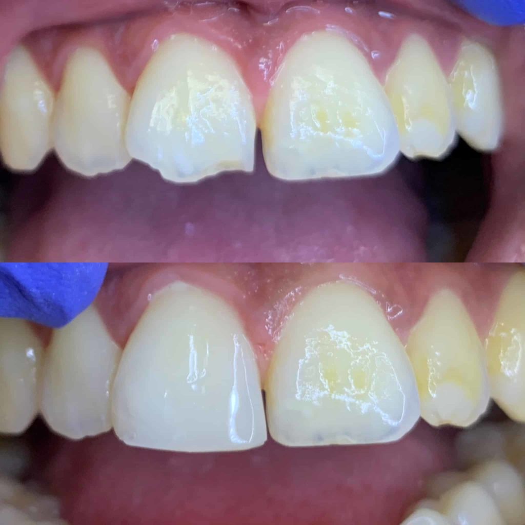
FRONT TOOTH FILLING
Our patient came with complain of broken tooth since a decade and never liked the way he smiled. We advised a simple filling and he accepted the dental treatment. Dental insurance covered for the filling. We didn’t even numb him. Look at this beautiful before and after pictures we took.
Happy patient with awesome results done at affordable price.

NO ANESTHESIA SMILE ENHANCEMENT
SIMPLE COSMETIC DENTAL CARE
Patient came with complain of stained and broken upper front teeth. Removed the stains and did a cosmetic White Filling. No Anesthesia used as it was superficial. Patient was so happy seeing the change in a fraction of time and without being getting numbed.



FRONT TOOTH FILLING
Our patient Julie was just about ready to leave for vacation when she broke her tooth. She called our office and we were able to get her in the same day. We repaired the tooth using filling material and minimal anesthetic in just about 30 mins.
Her cost was less than $200 and she was able to leave on time with her beautiful smile.
Note: A beautiful smile doesn’t have to take time or cost a fortune.





